Radiografía del Muslo

  
Rellene todos los huecos, a continuación, pulse "Completado" para ver su resultado.
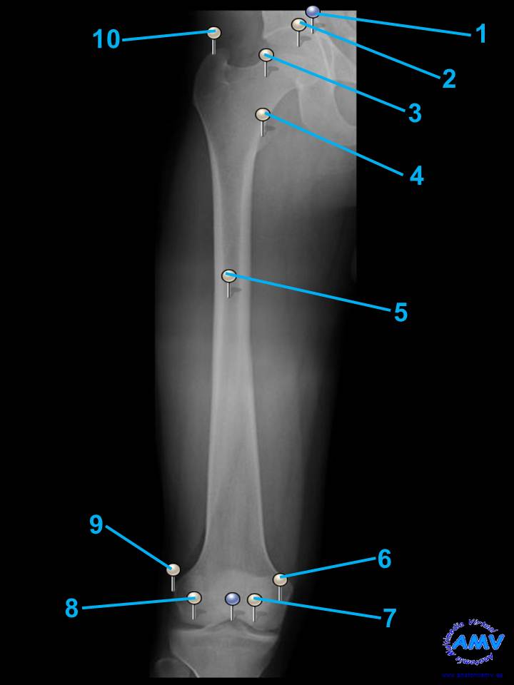
rx_mi_04.jpgIndique que estructura se señala con el número correspondiente:
El nº 1 señala .
El nº 2 señala .
El nº 3 señala .
El nº 4 señala .
El nº 5 señala .
El nº 6 señala .
El nº 7 señala .
El nº 8 señala .
El nº 9 señala .
El nº 10 señala .