RMN Axial de Hombro

  
Rellene todos los huecos, a continuación, pulse "Completado" para ver su resultado.
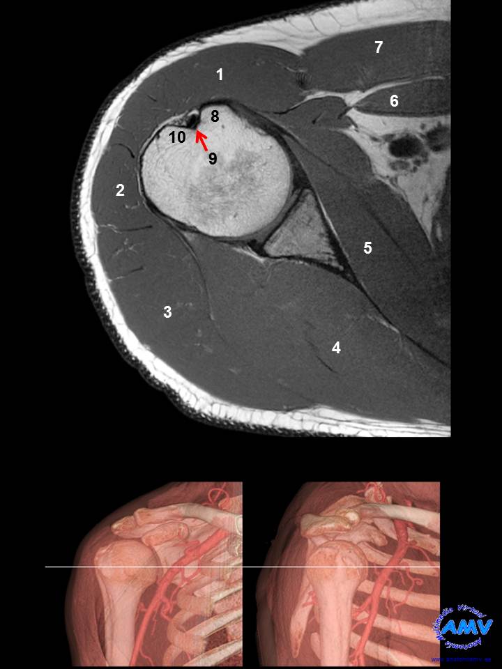
ms_rmn_01.jpgIndique que estructura se señala con el número correspondiente:
El nº 1 señala al músculo .
El nº 2 señala al músculo .
El nº 3 señala al músculo .
El nº 4 señala al músculo .
El nº 5 señala al músculo .
El nº 6 señala al músculo .
El nº 7 señala al músculo .
El nº 8 señala el relieve óseo .
El nº 9 señala el relieve óseo .
El nº 10 señala el relieve óseo .